Teeth Bonding

Transform Your Smile Instantly with Expert Teeth Bonding at Visodent NY!

Are you looking to enhance your smile with a quick, effective cosmetic dental procedure? Teeth bonding might be the perfect solution for you! At Visodent NY, our experienced team, led by a dedicated expert with over a decade of experience in dentistry, is here to help you achieve the radiant smile you’ve always dreamed of.

What is Teeth Bonding?

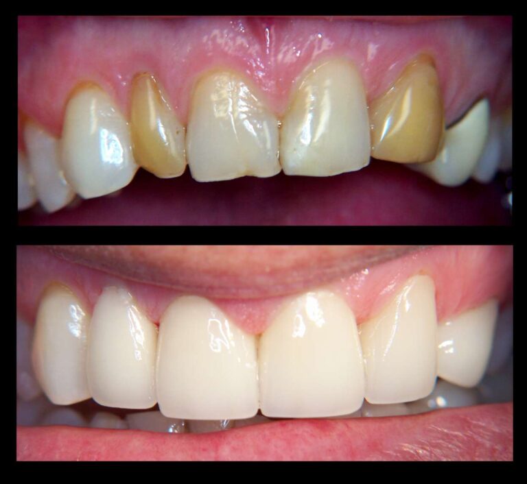
Teeth bonding is a cosmetic dental procedure that involves applying a tooth-colored composite resin to your teeth. This versatile treatment can address various imperfections, making it an excellent choice for enhancing your overall smile aesthetic.

What is Teeth Bonding Used For?

Teeth bonding is an ideal option for:

  • Chipped or Cracked Teeth: Restore your tooth’s integrity and appearance.
  • Gaps and Spaces: Close unwanted gaps between teeth for a more uniform smile.
  • Discolored Teeth: Conceal stains or discoloration that don’t respond to whitening treatments.
  • Misshapen Teeth: Improve the shape of teeth that are too short, irregularly shaped, or disproportionate to enhance facial harmony.
  • Cavities: Provide a protective barrier over cavities to strengthen the tooth’s structure.

How Does Teeth Bonding Work?

The teeth bonding process is straightforward and usually completed in just one visit to our clinic. Here’s how it works:

  • Consultation: During your initial visit, our dentist will discuss your smile goals and determine if teeth bonding is appropriate for you.
  • Color Matching: We’ll choose a composite resin color that closely matches your natural teeth for a seamless finish.
  • Preparation: Your tooth will be minimally prepared for bonding, ensuring the process is gentle and comfortable.
  • Application: The resin is applied and shaped on the tooth, then molded to match the desired contour.
  • Curing: A special light hardens the resin, ensuring a durable bond.   

 

Benefits of Teeth Bonding

  • Quick and Convenient: Unlike other cosmetic procedures, teeth bonding can often be completed in a single visit, making it perfect for those with busy schedules.
  • Minimal Tooth Removal: The procedure is minimally invasive, preserving as much of your natural tooth structure as possible.
  • Affordable: Teeth bonding is a more cost-effective solution compared to dental veneers and other cosmetic treatments.
  • Natural Appearance: The resin can be customized to match your existing teeth and provide a natural finish.
  • Durability: With proper care, bonded teeth can last several years, making it a practical option for many patients.

At Visodent NY, we pride ourselves on providing personalized care and ensuring your comfort throughout the teeth-bonding process. Our friendly team is committed to helping you enhance your smile without the stress typically associated with cosmetic dentistry.

Your Stunning Smile Awaits!

Are you ready to take the next step toward a more confident smile? Don’t hesitate to contact us today to schedule your consultation! With our expertise and dedication to patient satisfaction, we’re excited to help you achieve the smile you deserve. Experience the transformative power of teeth bonding at Visodent NY—where your smile is our passion!

Get in touch today to start the exciting process that is a cosmetic smile make over

Book a Consultation by Contacting